WPC News
David & Goliath - Where is the real battle?
One of the most well-known and probably most frequently told stories of the Old Testament is that of the battle between David and Goliath. The battle is set like many other historic battles; Israel was perched on one mountain ridge and beyond the valley on the other side is the…
The Turning Walsall
At the end of May, the churches in Walsall in partnership with the Turning team from Reading went out on the streets of Walsall using the ‘The Turning model’ of evangelism. At 10.00am every morning, we met at the Rock Church for worship and training and in the evenings at…
Making God’s love known through prayer
A weekend to make God’s love known to those around you. On your street, in your community, with your prayers. We believe that local people praying for their community can change lives. The idea is simple. The National Prayer Weekend is an opportunity to gather prayer requests from people in…
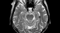
Medics stunned by miracle healing
A Sheffield man has mystified the medical profession following the miraculous healing of a huge tumor on his face. Ken Gorman suffered excruciating pain after a small lump, discovered at the end of May 2013, grew bigger and bigger. Doctors prescribed tablets for the pain and sent him to Rotherham…

